肺癌晚期不再意味着没救:晚期肺癌的生存之路,一位患者带来的启示

时间:2026-02-24

看到“肺癌晚期”的诊断,很多人的第一反应是:是不是没救了?这个案例或许能给我们一个充满希望的答案。


晴天霹雳:咳嗽不止,一查竟是肺癌

50岁的王先生,一向注重健康。一场久治不愈的咳嗽,最终将他带到了CT室。结果令人心碎:右肺占位,病理确诊为腺癌。这个结果如同晴天霹雳,但王先生决定积极面对。他有一个坚定的想法:只接受手术,坚决不做放化疗。

然而,进一步的PET-CT检查显示,他的病情已属晚期(T4N3M1),肿瘤侵犯广泛,并已发生转移(右侧胸膜、叶间裂及右肺多发小结节,考虑转移,病灶累及右肺动静脉可能,伴右肺门、纵隔(2R/L、4R、7组)、双侧锁骨上窝淋巴结转移)。

医生明确告知:已失去手术机会。“不能手术,又不愿放化疗,那就算了吧。”——这是王先生当时无奈的心声。

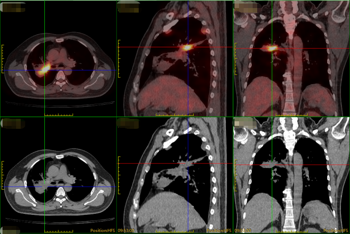
图片

右肺上-中叶近肺门区软组织密度肿块影,FDG 摄取增高


绝处逢生:基因检测,打开精准治疗之门

在几乎放弃之际,王先生进行了一项关键检查:“肺癌基因检测”。正是这个决定,扭转了局面。检测报告找到了一个特定的基因突变,这意味着,存在一种能精准打击这个突变、从而控制肿瘤的靶向药物。为他“量身定制”的治疗之路,由此开启。

图片

为什么晚期肺癌,不再意味着“没救”?

王先生的经历并非个例。它揭示了一个现代肿瘤治疗的重要转变:晚期肺癌,正从“绝症”演变为一种可长期管理的“慢性病”。

靶向治疗就像“钥匙配锁”。通过基因检测找到癌细胞的驱动基因突变(“锁”),再用对应的靶向药(“钥匙”)精准抑制。我国近半数肺腺癌患者存在EGFR等常见突变,能因此获得疗效显著、副作用较轻的口服靶向药,生存期得以数年甚至更长地延长。


肺癌患者,请务必了解这些事

1.基因检测是精准治疗的“地图”

尤其对于非小细胞肺癌(特别是腺癌)患者,确诊后应尽快进行基因检测,这是通向靶向治疗的必要第一步。即使初始没有突变,在治疗过程中如果病情进展,再次检测也可能发现新的靶点。


2.“没有手术机会”不等于“无药可医”

手术只是局部治疗手段。对于晚期患者,全身性的系统治疗(靶向、免疫等)才是主导,目的是通过药物长期控制肿瘤生长。

王先生的故事,是医学进步的一个缩影。它告诉我们,面对晚期肺癌,绝望不应是第一个选择。

积极检测、科学认知、拥抱现代医疗带来的多种可能性,才是通往“生命加时”的正确道路。 随着医学不断发展,我们有理由相信,让肺癌成为真正可管理的慢性病,已不再是梦想。

图片

成都锐视医学影像诊断中心携手华大基因重磅推出

PET/CT+基因检测

精准诊疗套餐

让肺癌“慢病化”管理目标曙光初现

让更多患者拥抱“生命加时”的可能